
Hỗ trợ thuốc miễn phí cho bệnh nhân xơ phổi vô căn tại 9 bệnh viện
Mỗi người bệnh sẽ được hỗ trợ miễn phí 1/3 số lượng sử dụng thuốc điều trị bệnh xơ phổi trong chu kỳ điều trị 30 ngày và chương trình sẽ kết thúc vào cuối năm 2025.

Mỗi người bệnh sẽ được hỗ trợ miễn phí 1/3 số lượng sử dụng thuốc điều trị bệnh xơ phổi trong chu kỳ điều trị 30 ngày và chương trình sẽ kết thúc vào cuối năm 2025.

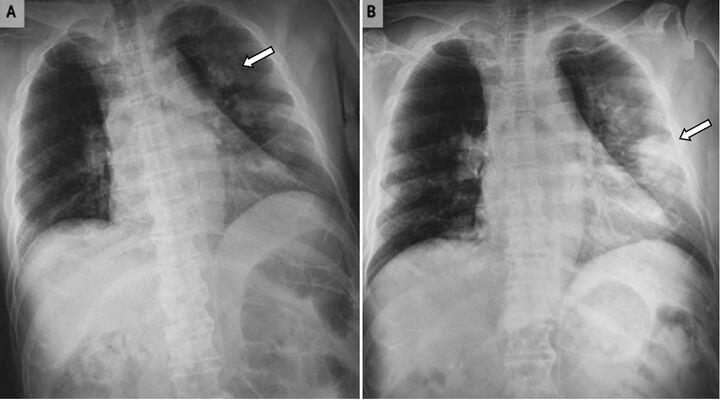
Nói đến bệnh xơ phổi, nhiều người thậm chí chưa từng nghe tên, nhưng tỉ lệ tử vong của căn bệnh này không hề thấp hơn ung thư phổi.

Biến chứng nguy hiểm xơ phổi mô kẽ có thể xuất hiện ở người trẻ, không mắc bệnh nền nhiễm nCoV.

Dưới đây là lời khuyên của bác sĩ về chế độ dinh dưỡng cũng như luyện tập để cải thiện chức năng phổi với bệnh nhân hậu COVID-19.

Xơ phổi là một trong hai di chứng nặng nề nhất hậu COVID-19 mà mọi người không được chủ quan.

Nhìn bé Nguyễn Võ Hoàng Thiên (14 tháng tuổi, ở TP Vũng Tàu) nhanh chóng ăn hết bát cháo đầy, chơi đùa vui vẻ cùng em trai song sinh Hoàng Phúc - ít ai nghĩ rằng chỉ 8 tháng trước, sự sống của bé rất mong manh.

Tạp chí “American journal of case reports” (Mỹ) vừa công bố trường hợp đầu tiên trên thế giới ghép tế bào gốc chữa xơ phổi thành công được thực hiện tại Hệ thống y tế Vinmec, Hà Nội, Việt Nam; thành tựu đột phá của Vinmec đã tạo bước ngoặt lớn trong lĩnh vực nuôi dưỡng và chăm sóc trẻ sinh non yếu vốn thường xuyên phải đối mặt với nguy cơ tử vong do biến chứng của xơ phổi trên thế giới.