
Ho ra máu, đi khám phát hiện sán làm tổ trong phổi
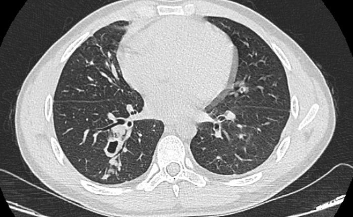
Một năm nay, nam thanh niên mệt mỏi, ho nhiều và ra máu, bác sĩ khám và chẩn đoán nhiễm sán lá phổi.

Một năm nay, nam thanh niên mệt mỏi, ho nhiều và ra máu, bác sĩ khám và chẩn đoán nhiễm sán lá phổi.

Sau khi ăn gỏi cua sống được một tháng, nam thanh niên (31 tuổi, ngụ tỉnh Điện Biên) mệt mỏi, sút cân, buồn nôn, được chẩn đoán nhiễm sán lá phổi.

Thấy đau nhức đầu nhiều ngày, ông T. đi khám, kết quả chụp cắt lớp sọ não phát hiện hình ảnh ấu trùng sán làm tổ trong não.

Người đàn ông 56 tuổi được người nhà đưa đi cấp cứu trong tình trạng đau bụng dữ dội, nôn ói, tiêu chảy nhiều lần, mệt và khó thở.

Cư dân mạng kinh hãi trước clip ghi lại cảnh bác sĩ kéo con sán dài 3m ra khỏi miệng một người phụ nữ ở Sơn La.

Trong cuộc tranh cãi liên quan sách giáo khoa Tiếng Việt lớp 1, bộ Cánh diều, vấn đề dư luận bức xúc hơn cả là động thái của các nhà làm sách và Bộ GD&ĐT.

Bệnh nhân chuyển đến viện do sốt cao, nôn mửa kéo dài, “thủ phạm” được xác định là hàng trăm con sán lúc nhúc trong gan.

Bệnh viện Đa khoa tỉnh Phú Thọ cấp cứu cho một bệnh nhân 40 tuổi vì phát hiện có sán trong não do thường xuyên ăn tiết canh lợn.

Do có thói quen hay ăn tiết canh, thịt chua nên dù sán đã làm tổ trong não thành ổ, nhưng người này không biết cho đến khi đau đầu nhiều gây liệt nửa người.

Trước nghi vấn của dư luận về việc tuồn thịt lợn bẩn vào trường học khiến các bé bị nhiễm sán lợn, ngày hôm nay, đại diện Công ty Hương Thành đã lên tiếng.

Bị gout cấp và đang uống thuốc điều trị, nam bệnh nhân ở Hà Nội bất ngờ phát hiện mình bị sán lá gan.

Bác sĩ bệnh viện Cần Thơ vừa nội soi gắp con sán dài 1,2 m trong manh tràng và hồi tràng của nữ bệnh nhân.

Một con sán xơ mít dài 8m đã được lấy ra khỏi người một nam bệnh nhân 48 tuổi, nhập viện Đa khoa Vĩnh Đức, thị xã Điện Bàn, Quảng Nam trong tình trạng rối loạn tiêu hóa, ra từng đốt sán.

Rất nhiều loại thực phẩm chứa sẵn độc tố tự nhiên, nếu chế biến sai cách có thể gây ngộ độc, thậm chí mất mạng.

Con sán dài 2,6m làm tổ trong bụng bé gái, khi bác sĩ lấy con sán ra, nó vẫn sống và cựa quậy.

Thay đổi khẩu vị cùng món sắn trộn dừa thơm phức vừa béo vừa bùi sẽ làm cho không khí gia đình thêm phần ấm cúng.

Nam bệnh nhân ở Đà Nẵng thường xuyên bị đau quặn bụng, bác sĩ nội soi và gắp ra một con sán xơ mít dài trên một mét.

Hàng năm, chị vẫn đi khám sức khỏe 2 lần nhưng tuyệt nhiên không bao giờ khám sản khoa mà chỉ khám sức khỏe chung chung, đến khi đau bụng, sụt cân vào viện khám, chị đã bị ung thư di căn.

Các nhân viên y tế bị sock nặng khi họ phát hiện ra một con sán khổng lồ đang kí sinh trong ruột người đàn ông Trung Quốc.

Lòng lợn có chứa sinh vật lạ dài hơn chục cm, nghi là sán trong quán Nhất Nướng ở Hà Nội khiến cặp đôi kinh hãi.

Thịt bò bị tẩm hóa chất hoặc được chế biến, bảo quản không đủ điều kiện vệ sinh an toàn thực phẩm, từ đó xuất hiện sán, trứng sán trong thịt bò.

Khi đang chuẩn bị bữa tối cho cả gia đình, cô Jen Chafitz đến từ Arizona (Mỹ) đã kinh hãi khi phát hiện cá hồi mới mua ở siêu thị lúc nhúc sán ký sinh.

(VTC News) - Ngày 1/11, cháu Khổng Thu H. (7 tuổi, Lập Thạch, Vĩnh Phúc) xuất hiện nôn nhiều, lơ mơ, khó thở, tím tái sau khi ăn sắn ở nhà hàng xóm.

(VTC News) - Với huy chương 'Đại tướng quân' ông Hải được đối đãi như cấp tướng ở Campuchia, nhưng ít ai biết được ông Hải trải qua nhiều sóng gió cuộc đời.

(VTC News) - Dù có là ai, ngồi hay đứng, thậm chí là đổi chỗ liên tục thì họ vẫn là những người đến sân với niềm khát khao thứ bóng đá đẹp của U19 Việt Nam.

(VTC News) - Arapaima - loài cá khổng lồ dài tới 3 mét , nặng 180 kg - sắp biến mất hoàn toàn trên lưu vực sông Amazon, các nhà khoa học cảnh báo.

(VTC News) – Một ca bệnh hy hữu mà TS – BS Nguyễn Thu Hương điều trị là sán lá gan nhỏ ‘làm tổ’ trong của quý của bệnh nhân.

Các loại khoai như khoai tây, sắn, khoai lang... thường được dùng nhiều nhưng nếu không biết cách sơ chế sẽ để lại nhiều độc tố có hại cho cơ thể.

Nhìn kết quả chụp CT sọ não các bác sĩ tá hóa khi thấy khoảng 50 ổ sán trong làm tổ trong não bệnh nhân.

Ngày 9/5, y sỹ Lê Công Danh, Bệnh viện Y học Cổ truyền tỉnh Thừa Thiên Huế cho biết vừa chữa trị thành công cho một bệnh nhân sán xơ mít dài nhất