
Ổ sán khổng lồ 'lúc nhúc' trong não người đàn ông ở Phú Thọ
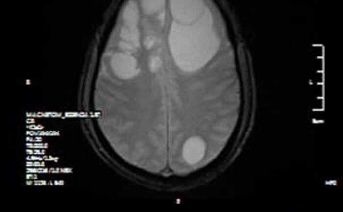
Ổ sán khổng lồ cư trú trong não khiến người đàn ông ở Phú Thọ mất dần trí nhớ, phù não diện rộng, phải phẫu thuật khẩn cấp.

Ổ sán khổng lồ cư trú trong não khiến người đàn ông ở Phú Thọ mất dần trí nhớ, phù não diện rộng, phải phẫu thuật khẩn cấp.

Bỏng ngô, xúc xích, thịt đã qua chế biến hay pizza đều là những thực phẩm khiến bạn bị suy giảm trí nhớ, theo Boldsky.

Một bà mẹ ở Mỹ đã cảnh báo về sự nguy hiểm của muỗi, sau khi con gái của bà bị co giật và ảo giác kinh hoàng từ vết muỗi đốt.

Các chuyên gia nghiên cứu tại Đại học Đông Phần Lan phát hiện đàn ông thường xuyên tắm hơi ít có khả năng bị chứng mất trí, theo hãng tin UPI.

Phát hiện người đàn ông có biểu hiện lạc đường, nữ Đại úy CSGT đã tìm cách giúp đỡ và liên lạc với gia đình đến đưa ông về nhà.

Gia đình ông Sơn vừa thông báo đã tìm thấy con trai bị lạc ở bến xe Giáp Bát.

Suốt 2 đêm trắng ông Sơn không chợp mắt, những lúc không phát tờ rơi, ông ngồi thụp xuống, hai tay đưa lên xoa đầu bất lực vì không thể làm gì khác để kiếm tìm con.

Tăng cân quá nhiều gây ra bệnh tim, tiểu đường, mất trí nhớ và các bệnh ung thư...thế nhưng, có những 'thủ phạm' gây tăng cân mà bạn không hề biết.