
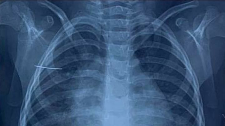
Kim khâu 4cm trong cơ thể bé gái 3 tuổi
Theo gia đình bệnh nhi, trong lúc chơi đùa bé gái ở huyện Bình Giang, tỉnh Hải Dương đã vô tình nằm đè vào chiếc kim khâu.

Theo gia đình bệnh nhi, trong lúc chơi đùa bé gái ở huyện Bình Giang, tỉnh Hải Dương đã vô tình nằm đè vào chiếc kim khâu.

Nam thanh niên 17 tuổi nuốt phải vật kim loại giống mũi kim tiêm khi đang điều trị nội nha tại phòng khám.

Các bác sỹ cho biết đây là trường hợp bệnh nhi vào viện trong tình trạng rất nặng, có thể ảnh hưởng đến tính mạng nếu không được chẩn đoán, xử lý kịp thời.

Năm 30 tuổi, người đàn ông tại Australia nhét gói cần sa vào mũi để trốn tránh quản giáo ở tù, từ đó tới nay nó kẹt lại đó gần 2 thập kỷ.

Thay vì trôi xuống dạ dày, viên thuốc cắm vào thành thực quản khiến anh Nguyên đau dữ dội vùng cổ.

Một phụ nữ bị xuất huyết tiêu hóa, chảy máu và có khối bã lớn trong dạ dày do ăn quả hồng giòn.

Bác sĩ Phạm Thanh Thúy - Bệnh viện Đa khoa Thu Cúc cho biết, các bác sĩ vừa gắp thành công con vắt sống trong mũi người đàn ông N.H.H., (38 tuổi, ở Hà Nội).

Các bác sĩ bất ngờ khi khối bã thức ăn được lấy ra khỏi dạ dày bệnh nhân là hạt xoài, quả chanh leo và đồng xu còn nguyên hình dạng.

Trong lúc chơi đùa, cháu S bị ngã khiến một dị vật dài 20cm đâm xuyên dưới da bụng phải đưa cấp cứu tại bệnh viện

Các bác sĩ Bệnh viện Sản nhi Nghệ An vừa cứu thành công bệnh nhân 10 tuổi bị kéo đâm vào đầu.

Người đàn ông bị đau bụng, khó tiêu, đi khám mới biết nuốt cả chiếc bàn chải dài gần 20 cm lúc nào không hay.

Con đỉa sống trong cổ họng khiến bé trai ở Yên Bái bị ho nhiều, ho ra máu, khó thở phải nhập viện khẩn cấp.

Các bác sỹ tại Ấn Độ vừa thực hiện ca phẫu thuật lấy số trang sức và tiền xu nặng hơn 1,3 kg từ dạ dày của cô gái 26 tuổi.

Bệnh nhân lâm tình trạng đau, khó nuốt vùng cổ họng do uống thuốc huyết áp nhưng nuốt luôn cả vỏ.

Bé gái lâm tình trạng đau nhức, ngứa ngáy khó chịu, tai chảy mủ lẫn máu do mắc kẹt dị vật trong ống tai.

Sự cố khiến bé trai lâm vào trạng thái hoảng loạn, khóc nhiều, phải nhập viện khẩn cấp.

Chang, 26 tuổi, ở Trung Quốc, không thể nhớ được tại sao sau khi uống rượu lại nuốt cả chìa khóa lẫn móc khóa bằng nhựa vào bụng.

Các bác sĩ gắp thành công chiếc đinh vít sắt dài 3,5 cm từ bụng em bé 20 tháng tuổi ra ngoài an toàn.

Trong lúc chơi đùa, bé bỏ chiếc nhẫn vào miệng ngậm rồi nuốt luôn, rất may đã được cứu chữa kịp thời.

Cả 3 bệnh nhân bị đinh cắm vào mắt đều tự rút đinh ra trước khi chuyển đến bệnh viện cấp cứu.

Do nuốt phải chiếc hoa tai nên bé gái liên tục nôn mửa, khó chịu, phải nhập viện điều trị.

Trong lúc phẫu thuật cắt bỏ phần ruột thừa bị viêm của nam thanh niên, các bác sĩ phát hiện có mảnh xương cá đâm thủng một phần ruột của anh này.

Chiếc đinh vít đi qua dạ dày, qua tá tràng, xuống hỗng tràng, khiến bé trai đau tức ngực, ho nhiều, sinh hoạt rất khó khăn.

Cô bé đã tự ăn tóc của mình trong suốt 6 năm, tạo thành một búi tóc “khổng lồ” trong bụng.

Chiếc tăm chui sâu vào dạ dày, đâm ngang khiến người phụ nữ đau nhói vùng hạ vị, trào ngược dạ dày.

Chiếc chìa khóa vướng sâu ở cổ họng khiến bé gái luôn cảm thấy vướng víu, đau đớn và khó nuốt.

Nếu không được xử lý kịp thời, khả năng cao ruột của bệnh nhi sẽ bị đâm thủng, dẫn tới những biến chứng đặc biệt nguy hiểm, thậm chí là ảnh hưởng tới tính mạng.

Dây thép trong bụng khiến nam thanh niên khó chịu nhiều, đau bụng dữ dội kèm sốt nhẹ.

Hóc kẹo, hạt dưa, bỏng nước sôi, nước trà, canh, ngộ độc thực phẩm, uống nhầm hóa chất... là những tai nạn mà trẻ nhỏ thường gặp phải.

Hai trẻ, một trai, một gái nhập viện ngay trong đêm vì nuốt phải dị vật và bút chì đâm dọc sống mũi.